Services

Featured by Department

body>

At SDA Diagnostics, led by Dr. Sonal Dhingra Anand, we offer a range of cutting-edge diagnostic services dedicated to ensuring your health and well-being. Our services include advanced imaging, pathology, laboratory testing, and personalized consultations. With state-of-the-art technology and a team of experienced professionals, we provide accurate and timely results to support your healthcare needs. Whether it’s preventive screenings or disease management, trust SDA Diagnostics for comprehensive and compassionate care tailored to you.

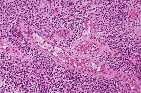
What is Histopathology?

Histopathology is the diagnosis and study of diseases of the tissues, and involves examining tissues and/or cells under a microscope. Histopathologists are responsible for making tissue diagnoses and helping clinicians manage a patient’s care.

Histopathologists examine biopsies (tissue or cells) removed from patients in the clinic or during an operation. The histopathologist examines tissue biopsies with the naked eye to look for any visible abnormalities and to select pieces to examine in more detail under the microscope.

Histopathological examination of tissues starts with surgery, biopsy, or autopsy. The tissue is removed from the body or plant, and then, often following expert dissection in the fresh state, placed in a fixative which stabilizes the tissues to prevent decay.

histopathology

SDA Diagnostics Lab is the screening center in Meerut, that offers various types of blood tests. We have the state-of-the-art infrastructure for the same. Apart from simple blood tests, some of them may be complex and may be suggested to detect some unusual compounds in your blood. With over 2 decades of experience in the field and with the help of our highly advanced equipment, we can conduct such tests to detect even some rare diseases.

Cytology (also known as cytopathology) involves examining cells from bodily tissues or fluids to determine a diagnosis. A certain kind of physician, called a pathologist, will look at the cells in the tissue sample under a microscope and look for characteristics or abnormalities in the cells.

Diagnosing diseases by looking at single cells and small clusters of cells is called cytology or cytopathology. It’s an important part of diagnosing some types of cancer.

During a biopsy, tissue from a certain area of the body is removed and analyzed for cancer. A cytology test removes and studies a fewer number of cells. With a cytology test, the cytological morphology of the cells collected are studied under a microscope.

CYTOPATHOLOGY

SDA Diagnostics Lab is the screening center in Meerut, that offers various types of blood tests. We have the state-of-the-art infrastructure for the same. Apart from simple blood tests, some of them may be complex and may be suggested to detect some unusual compounds in your blood. With over 2 decades of experience in the field and with the help of our highly advanced equipment, we can conduct such tests to detect even some rare diseases.

We are the leader in comprehensive pathology and lab services.

One of the most frequently performed tests at clinical laboratories is ones involving blood samples. Referred to as hematology testing, blood tests can be done specifically to confirm a medical diagnosis.

01 – Such tests may be more routine, as is often the case when certain conditions need to be monitored regularly.

02 – Routine hematology tests are useful for practitioners within most medical specialties involving the care of children and adults.

Red blood cells macro over red eritrosit background. Concept of blood cells count, medicine and healthcare. 3d rendering mock up

SDA Diagnostics Lab is the screening center in Meerut, that offers various types of blood tests. We have the state-of-the-art infrastructure for the same. Apart from simple blood tests, some of them may be complex and may be suggested to detect some unusual compounds in your blood. With over 2 decades of experience in the field and with the help of our highly advanced equipment, we can conduct such tests to detect even some rare diseases.

The Microbiology service provides specialist information and testing of microbial pathogens involved in a patient’s infectious disease process and assists with managing outbreaks of communicable diseases.

Specialist areas in microbiology include bacteriology, mycology, parasitology, virology, serology, and infection control. These integrated services are provided by experienced and highly qualified staff, with the specialist medical interpretation of results. A microbiology laboratory is a laboratory devoted to the culturing, examination, and identification of microorganisms including bacteria, fungi, yeasts, etc. The microbiology laboratory has a crucial role in effective infection prevention and control (IPC).

Microbiology

The Microbiology department encompasses :

 The Bacteriology laboratory works on a 24/ 7 basis and offers a comprehensive range of services including specialist tuberculosis and sexual health testing, anaerobic and aerobic microbial testing, and automated testing for blood-borne infections like bloodstream infections. Also included in this area are specialized parasitology and mycology laboratories.

 The Virology/Serology section is one of the leading clinical virology diagnostic services in Meerut, the primary focus being rapid virus diagnosis. A wide range of diagnostic assays are provided for internal, external, and international clients and new tests are continually being introduced through the section’s research and development activities.

Our Microbiological & Serological Pathology Services :

 Routine serology- ASO, RA, CRP, VDRL, PCT

 Blood Borne screening – Automation

 Hepatitis marker

 Dengue serology

 Manual – All tube agglutination tests

 ELISA – for various infectious (TORCH ) and non-infectious diseases ACA

 Measurement of Faecal Elastase – ELISA – a non-invasive first-line test to assess patients with chronic pancreatitis

 Cystic fibrosis

 Chronic inflammatory bowel disease

 Exocrine pancreatic dysfunction

 Extended serology -ANA, ANCA profile & Western blot

The immunological tests used in laboratories are made by producing artificial antibodies that exactly “match” the substance or germ in question. When these antibodies come into contact with a sample of blood, urine or stool, they bind to the matching substance or germ if found in the sample.

Immunology strives to understand what happens to the body during an allergic response and the factors responsible for causing them. This should lead to better methods of diagnosing, preventing and controlling allergic diseases.

The immune system has two lines of defense: innate immunity and adaptive immunity. Innate immunity is the first immunological, non-specific (antigen-independent) mechanism for fighting against an intruding pathogen.

Futuristic viral infection concept with glowing low polygonal virus cells and red blood cells on dark blue background. Immunology, virology, epidemiology concept. Vector illustration.

SDA Diagnostics Lab is the screening center in Meerut, that offers various types of blood tests. We have the state-of-the-art infrastructure for the same. Apart from simple blood tests, some of them may be complex and may be suggested to detect some unusual compounds in your blood. With over 2 decades of experience in the field and with the help of our highly advanced equipment, we can conduct such tests to detect even some rare diseases.

How to increase immune system?

  1. Eat Well. Food Assistance.
  2. Be Physically Active. Regular physical activity helps you feel better, sleep better, and reduce anxiety.
  3. Maintain a Healthy Weight. Excess weight can affect how your body functions.
  4. Get Enough Sleep.
  5. Quit Smoking.
  6. Avoid Too Much Alcohol.
  7. In Summary.

Biochemical tests, which measure substances (protein, sugar, oxygen, etc.) in blood and urine, are widely used in the diagnosis of diseases and the determination of treatment. The activity of each organ in the body affects one or several of the specific biochemical indicators. Therefore, the determination of concentration and comparison of biochemical indices in blood components can help doctors diagnose many diseases such as liver diseases such as high liver enzymes, hepatitis, diabetes, fibrosis. atherosclerosis, myocardial infarction.

The determination of blood biochemical indices is very important in diagnosing the health of the organs of the body. However, not everyone knows what the significance of biochemical indices say. Below are the meanings of the most common blood biochemical indices.

BIOCHEMISTRY

SDA Diagnostics Lab is the screening center in Meerut, that offers various types of blood tests. We have the state-of-the-art infrastructure for the same. Apart from simple blood tests, some of them may be complex and may be suggested to detect some unusual compounds in your blood. With over 2 decades of experience in the field and with the help of our highly advanced equipment, we can conduct such tests to detect even some rare diseases.

A procedure in which a small brush is used to gently remove cells from the surface of the cervix and the area around it so they can be checked under a microscope for cervical cancer or cell changes that may lead to cervical cancer. A Pap smear may also help find other conditions, such as infections or inflammation.

The Pap test (or Pap smear) looks for precancers, cell changes on the cervix that might become cervical cancer if they are not treated appropriately.

Women age 21 to 29 should have a Pap test alone every 3 years. HPV testing alone can be considered for women who are 25 to 29, but Pap tests are preferred. Women age 30 to 65 have three options for testing. They can have both a Pap test and an HPV test every 5 years.

PAP SMEAR

SDA Diagnostics Lab is the screening center in Meerut, that offers various types of blood tests. We have the state-of-the-art infrastructure for the same. Apart from simple blood tests, some of them may be complex and may be suggested to detect some unusual compounds in your blood. With over 2 decades of experience in the field and with the help of our highly advanced equipment, we can conduct such tests to detect even some rare diseases.